Dr. Jay Siddiqui combines XNav surgical navigation, CBCT 3D imaging, and in-house milling to deliver implants, veneers, and same-day restorations with accuracy you won't find elsewhere.
Most practices fall into two camps: outdated small offices or corporate chains with rotating providers. Radiant Dental Care is neither. We have the digital infrastructure of a large practice — and Dr. Jay Siddiqui personally oversees every case, from first scan to final delivery.
Every step of your treatment happens in-office, under one doctor's direction — no outside labs, no referrals, no delays.
Real-time GPS-like guidance during implant surgery for sub-millimeter accuracy. Means less trauma, faster healing, and more predictable results than freehand placement.
We mill crowns, onlays, and veneers while you wait. No temporaries, no second appointment, no external lab. Your permanent restoration in a single visit.
Full jaw anatomy scanned in three dimensions before we make a single decision. In-office cone beam CT for precise bone assessment and surgical planning — not a 2D guess.
Surgical guides, models, and custom trays printed on-site using Exocad-designed plans. Every component designed and verified by Dr. Jay before it's placed in your mouth.
Professional-grade dental CAD software used to design every restoration digitally — ensuring the fit, function, and aesthetics are verified before milling begins.
High-magnification precision for complex procedures where the finest detail matters — from root treatment to veneer preparation. Not standard equipment. Ours.
CBCT-guided or XNav-navigated placement with same-day provisionalization available. Built to last a lifetime.
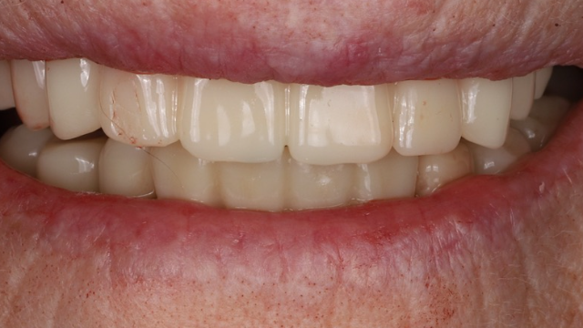
Learn more →Complete smile reconstruction using XNav-guided planning, in-house printing, and same-day temporaries.
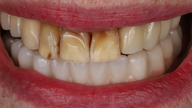
Learn more →Lab-grade quality, not the shiny "CEREC" look. Walk in with a broken tooth, walk out with a permanent crown — designed in Exocad, milled on our in-house DOF Craft 5X, and fit to perfection. No temporaries. No second visit.
Learn more →Exocad-designed veneers milled in-house or lab-fabricated. Natural aesthetics, precision fit, lasting results.
Learn more →Custom-planned full smile transformations combining veneers, whitening, and restorations. Every case designed digitally and previewed before we begin.
Learn more →Same-day evaluation for urgent dental issues. Call early and we'll do our best to see you that day.
Call (301) 652-2222 →Lead Dentist · Implant & Cosmetic Specialist
Dr. Jay Siddiqui built Radiant Dental Care around a single principle: every patient deserves the same level of care and precision that was previously only available at major university dental centers.
"You deserve a doctor who knows your name, not a number in a corporate system."
— Dr. Jay Siddiqui, DDSA simple, transparent membership that keeps you on top of your dental care — without the runaround of insurance. One flat yearly fee covers all the essentials, plus meaningful savings on everything else.
Designed for patients who'd rather pay their dentist directly than a third-party insurer. No deductibles. No waiting periods. No claim denials.
Discount excludes promotional pricing. Ask us about family memberships.
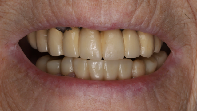
Full arch reconstruction with zirconia prosthesis, XNav-guided implants, and in-house printed temporaries.
Free consultation →*Restrictions apply.
Complete single-tooth replacement — implant, abutment, and same-day or custom crown, all-inclusive.
Book consultation →*Single-site, straightforward cases.
Full exam, comprehensive x-rays, and cleaning. Meet Dr. Jay and leave with a personalized care plan.
Book your visit →Complimentary consultation including CBCT scan if needed. No pressure, no cost.
Reserve your spot →Every case personally completed by Dr. Jay Siddiqui at Radiant Dental Care in Chevy Chase. Shown with patient consent.
Curious what's possible for your smile?
Book a Consultation →5.0 · 276 verified Google reviews
"Friendly staff, a terrific and caring dentist, and a very nice office!"
"Doctor Siddiqui is the best, and the staff at the front desk are also very helpful and kind."
"Dr. Jay and Caldia are both great. Great wheelchair access."
"Radiant Dental Care is awesome. Everyone is friendly and personable."
Book a free consultation or request a callback — we'll reach out at a time that works for you.
Or call us directly: (301) 652-2222