IMP · 01

Dental Implants — Restored Precisely, Built to Last a Lifetime

Missing a tooth is more than cosmetic — it affects how you chew, how your bite wears, and how your remaining teeth shift over time. A properly placed dental implant restores function and preserves jaw bone for decades. At Radiant Dental Care, every implant is CBCT-planned, digitally guided, and restored in-house.

Visits
2–3 appointments
Timeline
3–6 months total
Lifespan
20+ years
IMP · 01
Implants
Chevy Chase, MD
Radiant Dental

The gold standard for replacing a missing tooth

Dental implants are biocompatible titanium posts that fuse to your jaw bone and act as an artificial tooth root. Unlike bridges, they don't rely on neighboring teeth for support — they stand on their own. Unlike removable partials, they feel and function like a natural tooth.

When planned correctly, a modern implant is the closest thing in dentistry to a permanent fix. The difference between a 30-year implant and one that fails in 5 years almost always comes down to the quality of the surgical planning, the precision of placement, and the fit of the final crown.

  • Preserves jaw bone. Natural tooth roots stimulate bone. Without them, bone resorbs quickly — implants stop that.
  • Feels like your own tooth. No pressure on neighboring teeth, no movement, no clicks.
  • Protects your bite. Teeth drift into gaps within months. An implant holds the space and keeps the arch stable.
  • Built to last decades. Well-placed, well-maintained implants routinely pass 20+ years.

How we place your implant

Every implant case at our Chevy Chase office is digitally planned before the first incision. That means smaller procedures, more predictable outcomes, and restorations that fit on the first try.

01

Consult & 3D scan

A CBCT (cone beam) scan gives us a true 3D view of your bone, nerves, and sinuses. We combine it with an intraoral scan to plan in both anatomy and final crown shape.

~45 minutes
02

Digital planning

Dr. Siddiqui designs the implant position virtually — choosing size, angle, and depth that optimize bone support and crown aesthetics before anything physical happens.

In-house, same week
03

Guided placement

Using XNav dynamic navigation or a 3D-printed surgical guide, the implant is placed within fractions of a millimeter of its planned position. Local anesthesia, typically 60–90 minutes.

Single visit
04

Healing & integration

With the modern implant system we use, healing can sometimes be as quick as 8 weeks — faster than the traditional 3–4 month timeline. Your bone biologically fuses to the titanium (osseointegration) during this window. In select cases, a temporary crown can be placed the same day.

8 weeks – 4 months
05

Final crown

Your implant is restored with a fully custom abutment and crown — designed in Exocad and milled in-house on our DOF Craft 5X. Every case gets a custom abutment (never stock), designed, fit, and delivered in one visit.

~2 hours

Why the tools matter

Not all implant placements are equal. Freehand placement relies on the surgeon's feel — which is fine in easy cases and risky in hard ones. Our digitally guided workflow removes that guesswork.

TECH 01

CBCT 3D imaging

We capture a complete 3D volume of your jaw so we can see every nerve and sinus before we plan — not during surgery.

TECH 02

XNav dynamic navigation

Real-time GPS-style tracking of the drill inside your jaw during surgery. Sub-millimeter accuracy, without the 2-week wait for a printed guide.

TECH 03

In-house milling

The final crown is designed in Exocad and milled on our 5-axis DOF Craft mill. No outsourcing, no sloppy margins, no re-dos.

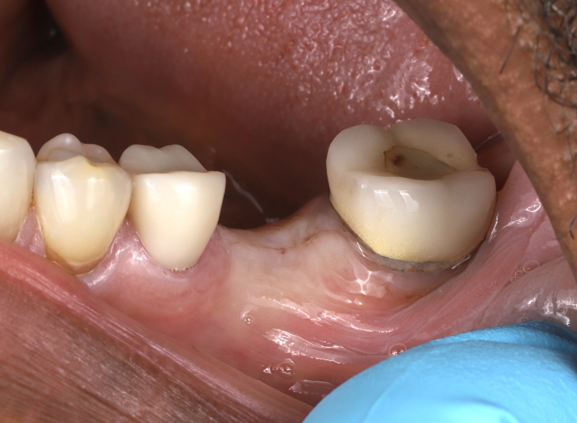
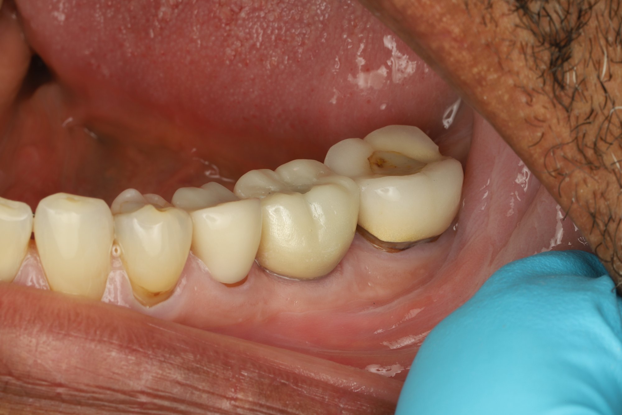
Single-tooth implant restoration

A lower molar with a failing post-and-core restoration — extracted, grafted, and restored with a CBCT-planned implant and custom in-house crown. Designed, milled, and delivered without ever leaving our office.

Before
Single-tooth implant — before: failing molar with broken post-and-core restoration
After
Single-tooth implant — after: fully restored implant crown in the lower arch
Single-tooth implant — lower molar
Radiant Dental Care · Chevy Chase, MD · Treatment by Dr. Jay Siddiqui, DDS

Transparent pricing, no surprises

Implant cost depends on the complexity of the case — whether bone grafting is needed, the type of crown, and whether a temporary is placed same-day. Below are our typical ranges; your exact quote comes at consultation.

Typical Investment

What it costs

Complete single implant — all-inclusive Extraction + bone graft + implant + custom abutment + custom crown
$5,000 flat
For reference — periodontist + referring dentist model What the same treatment typically costs when split between two offices in our area
$9,000 – $10,000+
CBCT scan & digital surgical plan Included
Included
One flat fee — no surprise add-ons for the abutment, the graft, or the scan. In most of the DC/Chevy Chase area, a single implant is split between a periodontist ($6,000–$7,000) and a restorative dentist ($3,000–$4,000) — we do the whole case in-house for one price. If you have PPO insurance, we'll file the claim for you; coverage varies by plan. Cherry financing available for flexible monthly payment plans.

Frequently asked

Does getting an implant hurt?
Most patients report the discomfort is less than a routine extraction. We use local anesthesia during the procedure, and post-op soreness is typically managed with over-the-counter pain relievers for 2–3 days. For anxious patients, we offer oral anxiolytic medication to help you feel calm and comfortable.
How long does the whole process take?
From consultation to final crown, expect 3–6 months depending on healing, whether an extraction and bone graft are needed, and your individual biology. With the modern implant system we use, some cases heal and are ready for the final crown in as little as 8 weeks. The surgical appointment itself is usually 60–90 minutes.
Am I a candidate for a dental implant?
Most healthy adults with enough bone are candidates. Even if bone has resorbed, grafting can usually rebuild it. Uncontrolled diabetes, heavy smoking, or certain bone medications may complicate healing — we evaluate this at consultation.
How much does a dental implant cost in Chevy Chase?
A complete single-tooth implant at Radiant Dental Care is $5,000 flat — all-inclusive. That covers the extraction, bone graft if needed, implant fixture, custom-milled abutment, and custom in-house crown. In the DC area, the same treatment is typically split between a periodontist ($6,000–$7,000) and a restorative dentist ($3,000–$4,000), which adds up to $9,000–$10,000+. We do the whole case in-house for one fee.
What's the difference between an implant and a bridge?
A bridge grinds down the two healthy teeth on either side of the gap and caps them to hold a fake tooth between. An implant replaces only the missing tooth and leaves your neighbors untouched. Long-term, implants almost always win for tooth preservation.
How long do implants last?
With good oral hygiene and regular cleanings, a well-placed implant can last 20+ years — many last a lifetime. The crown on top may need replacement after 10–15 years due to normal wear.

Related services

Ready When You Are

Your next smile starts with a consultation

Dr. Jay Siddiqui personally evaluates every case. No associates, no rotating doctors. Book online or call to schedule — evenings and Saturdays available.